診療の特色
ビデオシステム「ドクターズ・アイ」について
耳鼻科の病気は、ご自分では見えない場所におこります。
ご自分や子供さんの耳、鼻、喉がどのようになっているのかを知りたいと思っておられるでしょう。
耳鼻科医は昔から反射鏡(丸い鏡)や、ヘッドランプで診察をして説明をしますが、十分なものではありません。現在は電子ファイバースコープという機械がありますが、これは診察の初めから使うものではありません。専門的な検査費用も生じます
患者さんが椅子に座られて、ごく普通に診療を始めた時点から、医師に見えているものをリアルタイムでお見せできれば何より正確な説明になります。この診療スタイルを確立することを、開業以来の目標としてきました。高解像度で日常診療に支障なく使える機械がなく、デジタルカメラを利用した独自の機械の開発を続けています。
現在の装置は、1400万画素の映像が27インチモニターに常に流れており静止画、動画を記録しながら説明をします。
私が見ているものと同じですから、「ドクターズ・アイ」と呼んでおります。わかりやすい軽い症例の写真をいくつかお見せいたします。

中耳炎
ごく初期の所見です。耳の違和感を感じる時です。

中耳炎回復期
貯留液があり耳がこもった感じが続いています。

アレルギー性鼻炎
花粉症シーズン中に鼻閉と鼻水を訴えられます。

鼻出血
軽症鼻出血の出血部位です。

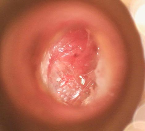
扁桃肥大
学童によく見られる扁桃肥大です。

急性咽頭炎
風邪の初期に喉の痛みを感じる状態です。

咽頭異物
扁桃に魚の骨が刺さっています。

耳内異物
髪の毛が二本外耳道に入り、鼓膜に接触しています。この様な些細な異物でも、鼓膜に接していると口を開け閉めしたり、首を動かした際に大きなガサガサと異音を感じます。

診察を行いながら撮影し、説明に用いました写真をもう少し詳しくお見せします。治療内容についても記載しております。
少しリアルな所見もございますので、ご了解の上で次にお進みください。
こちらをクリック-
耳の病気

外耳道異物 学童
お菓子の破片が入ったようです。お母様にもモニターを見ていただきながら摘出いたしました。

外耳道異物 小児
模型の部品が入っています。この例も、お母様にもモニターを見ていただきながら摘出いたしました。

耳癤
いわゆるオデキです。小さな切開で膿を出しているところです。

外耳道耳介湿疹1
耳介炎症が及んでいますが

外耳道耳介湿疹2
原因は外耳道内の細菌感染が広がったためです。耳の触りすぎが原因のようです。点耳、軟膏薬の局所治療を連続して行います。

外耳炎
硬い耳かきで毎日耳を触られる癖がある方です。まず過剰な耳触りをやめて、外用剤で痒みをおさえます。

外耳炎
外耳道皮膚に細菌感染を起こし分泌物が出ている状態です。抗生物質の点耳薬を使います。

耳垢栓塞 小児
自宅で取れそうで取れない耳垢です。いつでもお越しください。

耳垢栓塞
耳掃除をしていて断片が奥に入り込み、取れなくなっています。自分ではこれ以上無理されると鼓膜を損傷しますから、耳鼻科にお越しください

耳垢栓塞
乾性耳垢と呼ばれる乾いたタイプの耳垢が外耳道をほぼ閉鎖しています。乾性と次の湿性は遺伝的素因によるとされています。

耳垢栓塞
湿性耳垢と呼ばれる湿ったタイプの耳垢が外耳道を完全に閉鎖しています。ここまで詰まると聴力が低下します。

外耳道真菌症
カンジダ感染と思われます。黒い部分が胞子嚢、白い部分が菌糸体です。抗真菌薬軟膏を使いますが、真菌症は完治まで少し時間がかかります。

正常の鼓膜
正常な鼓膜では血管の充血、拡張は見られずに白色です。また鼓膜の位置に異常がなければ、鼓膜前方下方(写真は右耳)に光の反射が見られます。

急性中耳炎 小児
初期の急性中耳炎初見です。鼓膜上方より血管拡張と発赤が広がり始めています。まだ痛みは少なく違和感を感じる時期です。

急性中耳炎
初期から少し進行した状態です。

急性中耳炎 小児
中耳腔に炎症が広がった状態です。痛みがで始めるころです。この状態では、切開せずに薬剤治療を優先します。

急性中耳炎 学童
この段階ではもう少し抗生剤他の薬剤治療を行い経過をみます。

急性中耳炎 学童
痛みも強く、切開吸引して排膿が必要です。

急性中耳炎 幼児
早晩穿孔して耳漏が出ますので吸引排膿します。

滲出性中耳炎
鼓膜が内陥(奥に凹んで)下方に液体が貯留しています。この例は軽症でお薬と耳管通気などの処置で改善しました。

耳管狭窄症
慢性的に耳管通気不全が続き鼓膜の内陥が続く例です。カテーテル通気をしながら、鼓膜留置チューブが必要になることもあります。

航空性中耳炎
海外旅行からの着陸時に耳の詰まりが出て、その症状が続いている状態です。比較的初期ですからまず内服薬で対応します。

潜水性中耳炎
ダイビングで無理な耳抜きを繰り返したために炎症を起こしています。風邪気味の時はダイビングは控えなければなりません。

ヘルペスウイルス中耳炎
ウイルスの神経障害に注意して、慎重な対応が必要です。

慢性中耳炎
比較的小さな穿孔がありますが、炎症はなくほとんど無症状です。将来的には鼓膜閉鎖の手術が必要になるかもしれません。

慢性中耳炎
中等度の穿孔から発赤した炎症を起こし始めた中耳粘膜が見えます。

慢性中耳炎 上鼓室型
鼓膜上方の弛緩部に穿孔があり、真珠腫性中耳炎への対応が必要です。

外耳道外傷
耳かき中に子供がぶつかってきたとのことです。外耳道皮膚がめくれていますが、さいわい鼓膜(奥の白い部分)は破れていません。皮膚を元に戻して圧迫固定と感染予防処置で対応しますと治ります。

外傷性鼓膜穿孔1
耳かきでついて鼓膜に穴があいています。

症外傷性鼓膜穿孔2
鼓膜の穿孔をサージカルテープで閉鎖し約1~2週間で閉鎖しました。
鼻の病気

乳児の鼻炎 1歳前
この時期から乳児は鼻炎を繰り返します。吸引と鼻処置を主体とし、時に少量の抗生剤を使用します。子供さんを怖がらせないように、少しずつ処置を続けます。

園児の鼻炎
園に通うようになると頻回に上気道炎、鼻炎を起こし黄色い鼻汁を出すようになります。子供達が病気を覚えて免疫を作る時期でもありますので、元気であれば過剰に神経質になる必要はありません。その都度、吸引処置をします。本人にも撮った写真を見せて、お鼻をきれいに掃除することを説明しています。

急性鼻炎 園児
園児は風邪のたびに鼻汁の多い鼻炎を繰り返します。吸引、ネビュライザー吸入と投薬を主体としますが、小学校入学前からは鼻洗浄を始めます。

小学生の後鼻漏
鼻炎の際にはかなり多くの分泌物が喉に流れていきます。子供は意外と平気ですが、喉に痰がからんだような喋り方をしたり、咳が続く時にはこの様になっています。

アレルギー性鼻炎 スギ・ヒノキ花粉症
花粉飛散の多い時期まで我慢されていた方です。粘膜が腫れて完全に空気が通らなくなっています。抗アレルギー薬、外用剤など連続使用が必要です。

アレルギー性鼻炎 スギ・ヒノキ花粉症
無理に鼻をかみ続けて出血があります。さらに中耳炎や副鼻腔炎の併発することもありますので、強力な治療が必要です。

アレルギー性鼻炎から副鼻腔炎を併発
花粉症の症状が長引くと、副鼻腔炎を引き起こすこともあります。鼻汁がこのように濁ってきます。

副鼻腔炎
少し経過した急性副鼻腔炎です。黄色い粘稠な鼻汁が副鼻腔から常に排泄されています。抗生物質が必要です。

慢性副鼻腔炎
長期にわたる副鼻腔炎で、鼻茸(鼻ポリープ)が出来ています。外来の治療で症状改善を目指しますが、手術も選択肢として説明いたします。

鼻出血
ほとんどの鼻出血は鼻の真ん中の壁(鼻中隔)の前方数センチ以内に出血部位があります。まず鼻を大きくつまむことが、初期対応で有効なことがおわかりいただけると思います。

同様の部位からの出血です。

この例では、薬剤で、血管(黒い部分)と粘膜(白い部分)を固めています。

出血を繰り返す例です。静脈血管が露出しています。

これはバイポーラ電気凝固機で止血しました。中央に凝固された血管が見えます。十分に局所麻酔してから行いますので、痛みはほとんどありません。

頻回に鼻出血を繰り返していた例です。中央に血管断端、そこから周囲に広がる何本もの拡張した血管が見えます。

出血部位だけの電気凝固だけでは不十分でまた再発しますので、周辺血管それぞれを凝固しました。

鼻前庭炎、鼻入腔部湿疹1
鼻がムズムズ痒いと触り続けていると、このようなに入口近くの皮膚に湿疹様の炎症がおきてきます。まずこれ以上触らないように説明し、外用剤を処方し、1日に何回も塗っていただきます。

鼻前庭炎、鼻入腔部湿疹2
鼻腔は外側(手前)が皮膚で、その先で粘膜にかわります。接合部が弱く、痒くて触り続けるとここに亀裂が入ることがよくあります。治療は先と同じです。
喉と口の病気

正常の咽頭後壁粘膜
発赤、血管拡張、リンパ節腫脹いずれも見られません。

急性咽頭炎
初期の咽頭炎です。リンパ濾胞(小リンパ節)が腫脹し、痛みなどの症状が出始めます。

急性咽頭炎
さらに進行すると、粘膜全体に発赤と腫脹が強くなります。 扁桃にも少し白い膿(写真右)がつき始めています。

急性口蓋垂炎
口蓋垂、俗にいう「のどちんこ」を中心とした咽頭炎もあります。痛みとともに違和感、異物感を感じ無理に咳をすると更に悪化します。消炎鎮痛剤と含嗽、トローチを積極的に使って頂きます。

扁桃肥大 幼児
この時期から扁桃が大きくなります。かなり個人差はありますが、大きいからといって異常ではありません。炎症のない平常時の写真です。

急性扁桃炎 学童
かなり高度な扁桃肥大に風邪で炎症をおこした状態です。抗生物質が必要です。

伝染性単核球症
思春期、若年青年層にEBウイルス感染でおこる扁桃炎です。経口感染が主で欧米では古くよりキス病(Kissing disease)と呼ばれています。抗生物質が直接効きません。使えない抗生物質もあり診断に注意が必要です。

伝染性単核級症
この扁桃炎には特徴的な所見はなく、肝臓や脾臓にも影響が出ることもあります。ウイルス抗体や肝機能関連の血液検査を行い診断を進める必要があります。

扁桃の膿栓
俗に「におい玉」と呼ばれる、扁桃のくぼみに溜まる細菌や白血球の死骸の塊です。病気ではありませんが、本人にとっては厄介なものです。吸引で簡単に取れますので困ったらお越しください。消炎作用のある含嗽薬とトローチを通常より高濃度で使用するよう指導しています。

咽頭異物
このように直視できる異物はすぐに取ることができます。これより奥の場合はファイバースコープが必要となります。

ヘルパンギーナ
乳幼児によく見られるウイルス感染(A群コクサッキーウイルス)の口内炎です。手足口病、咽頭結膜熱(プール病)とともに小児科の先生との連携して対応します。子供同士の経口感染に注意が必要です。

アフタ性口内炎
舌の横に出来た口内炎です。薬品で表面を凝固させたところです。

アフタ性口内炎
扁桃の近くにできると食事にも支障がでます。周囲に感染を伴った炎症が見られますので、症状を和らげるためにも鎮痛剤、抗生物質も必要になります。

口唇ヘルペス
単純ヘルペスウイルスによる炎症です。水泡と痂皮が出来、ピリピリとした痛みがあります。抗ヘルペス軟膏をまず使用します。

口唇ヘルペス
口腔粘膜側に広がるとこのような状態になります。 広範囲に広がると痛みが強く、熱い飲み物は痛くて飲めなくなります。抗ヘルペス内服薬が必要となります。


耳の病気
鼻の病気
喉と口の病気